The Big Five
An essential element of every cancer diagnosis is the TNM classification, an international language that condenses the complexity of a tumor into a few precise letters. It allows pathologists to communicate findings that are crucial for therapy and prognosis.These seven watercolor paintings offer a visual interpretation of each component of this system:
T (Tumor) – the size and local spread of the primary tumor, N (Nodes) – involvement of regional lymph nodes, M (Metastasis) – presence of distant metastases. L (Lymphatic invasion) – tumor cells within lymphatic vessels, V (Vascular invasion) – invasion into blood vessels, Pn (Perineural invasion) – spread along nerves and R (Resection status) – the completeness of surgical tumor removal.
Together, these parameters form a structured portrait of a cancer — a distillation of biological behavior that guides treatment. The artworks translate this clinical framework into color and texture, offering a new way to reflect on the stories hidden within every diagnosis.
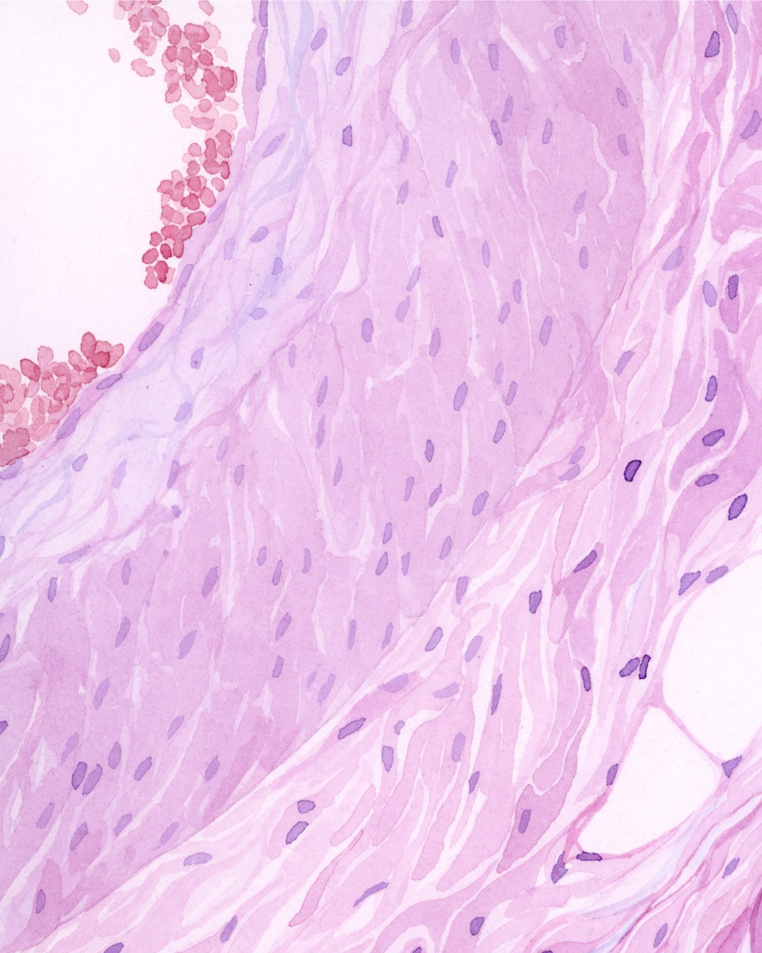
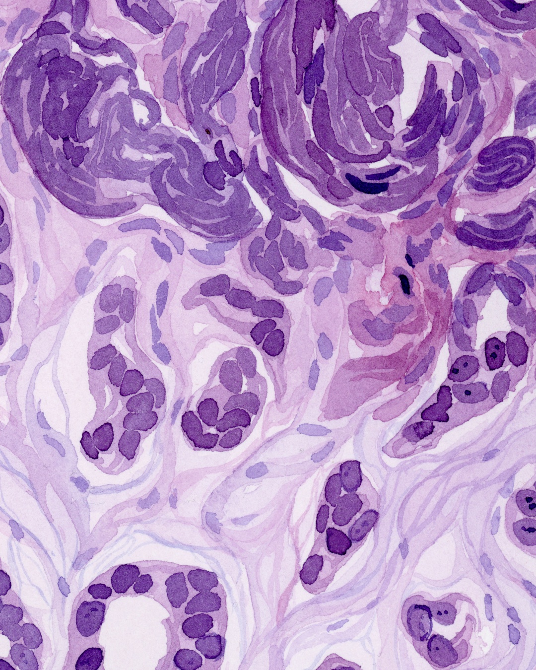
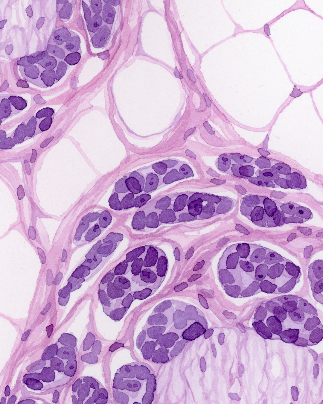
T (Tumor), Watercolor on paper, 24 x 32 cm
Example of a Colon Carcinoma infiltrating the fat tissue adjecent to the muscularis propria of the colon (T3).
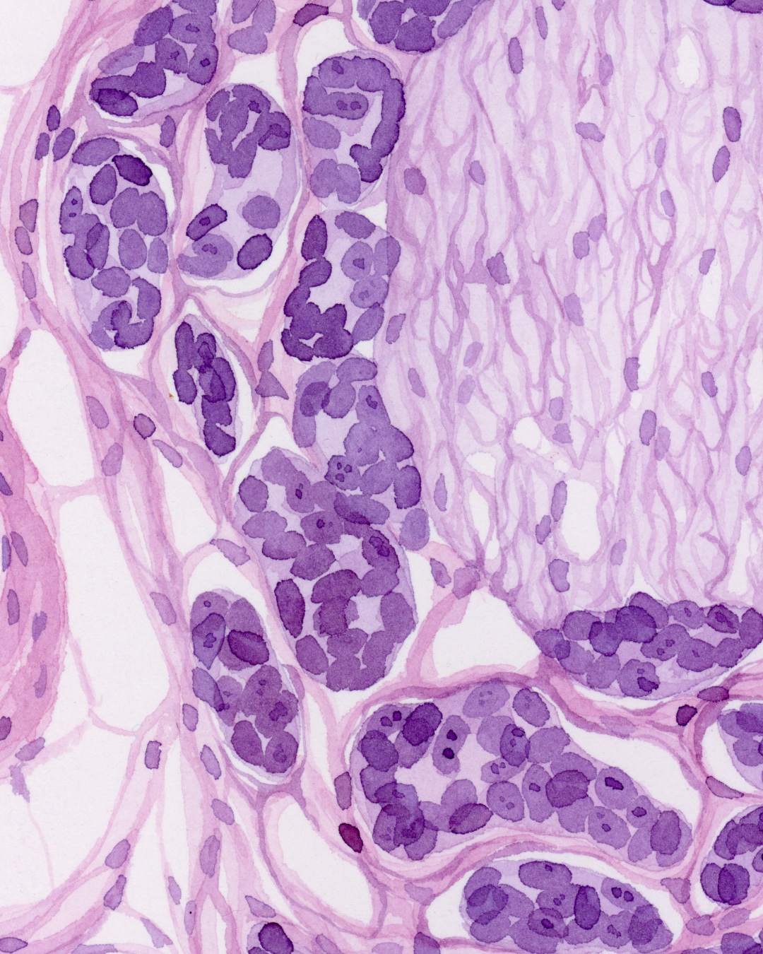
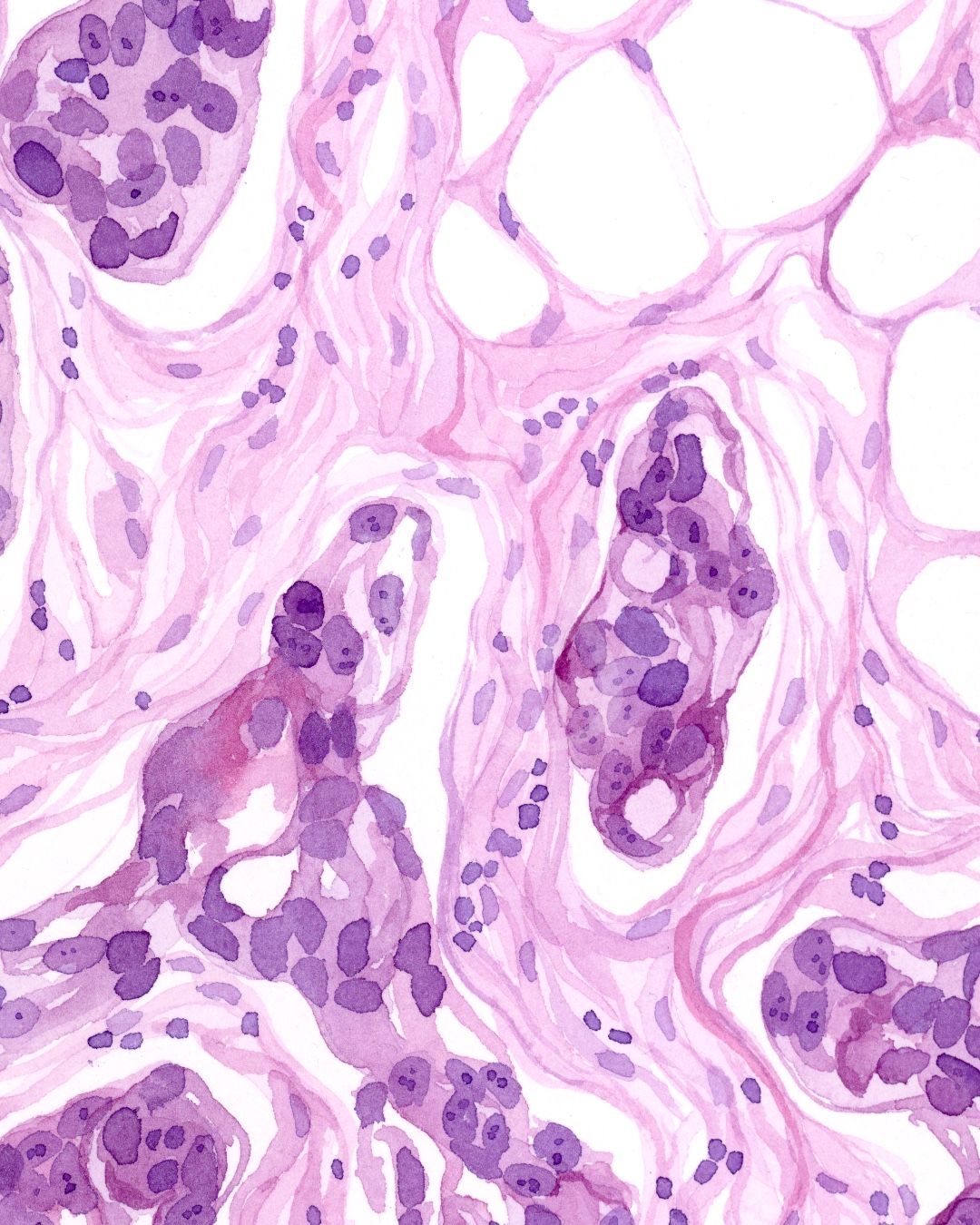
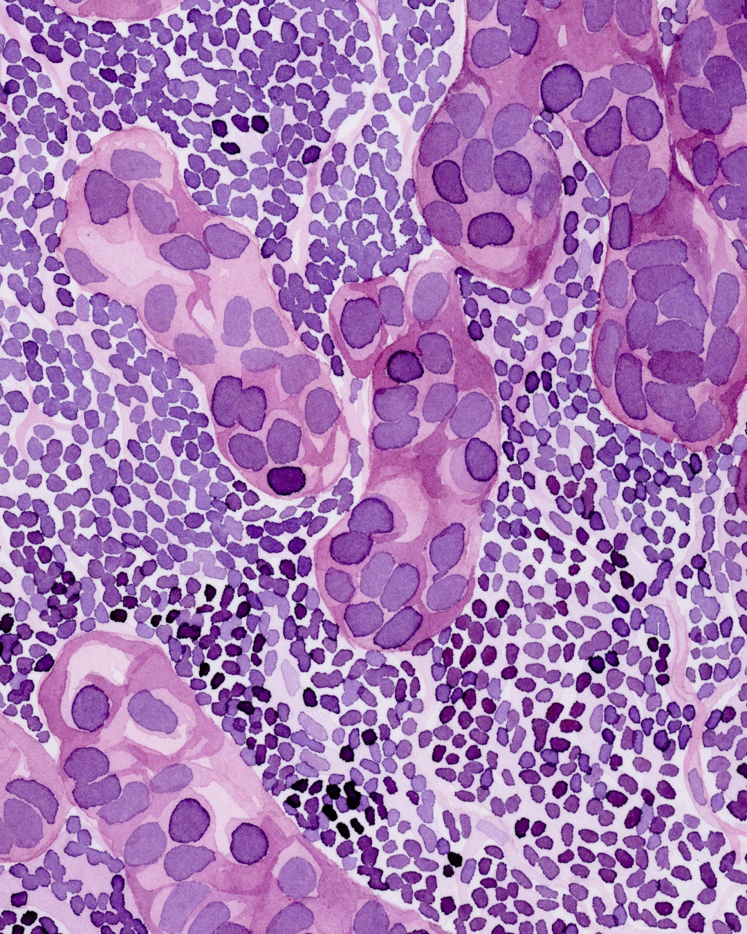
N (Nodes), Watercolor on paper, 24 x 32 cm
Example of an Adenocarcinoma infiltrating a lymphnode and a lymphytic sinus/vessel.
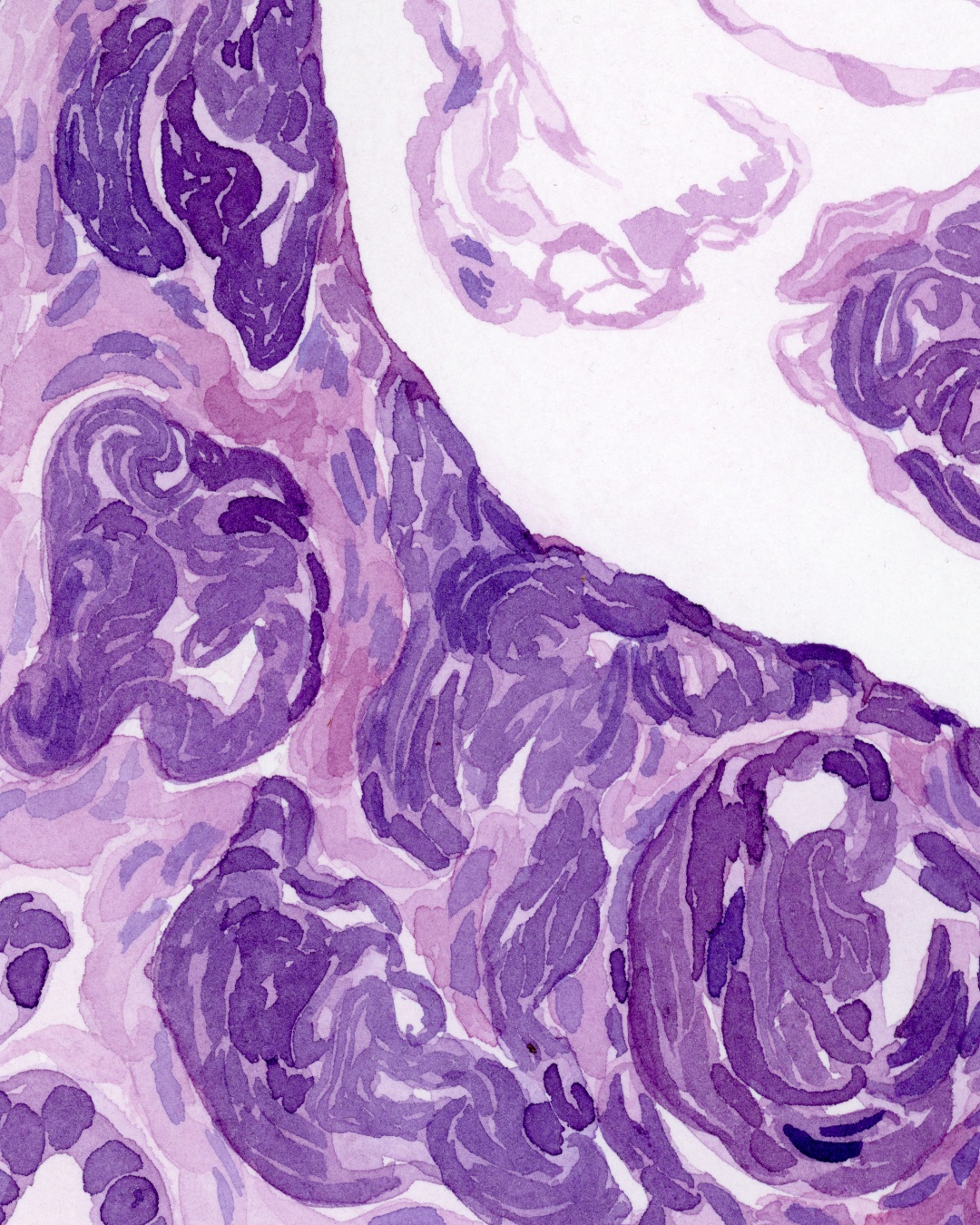
M (Metastasis), Watercolor on paper, 24 x 32 cm
Example of a Bone Metastasis of an Adenocarcinoma.
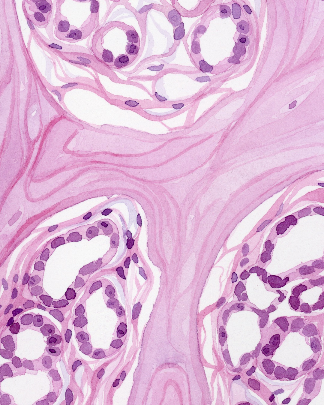
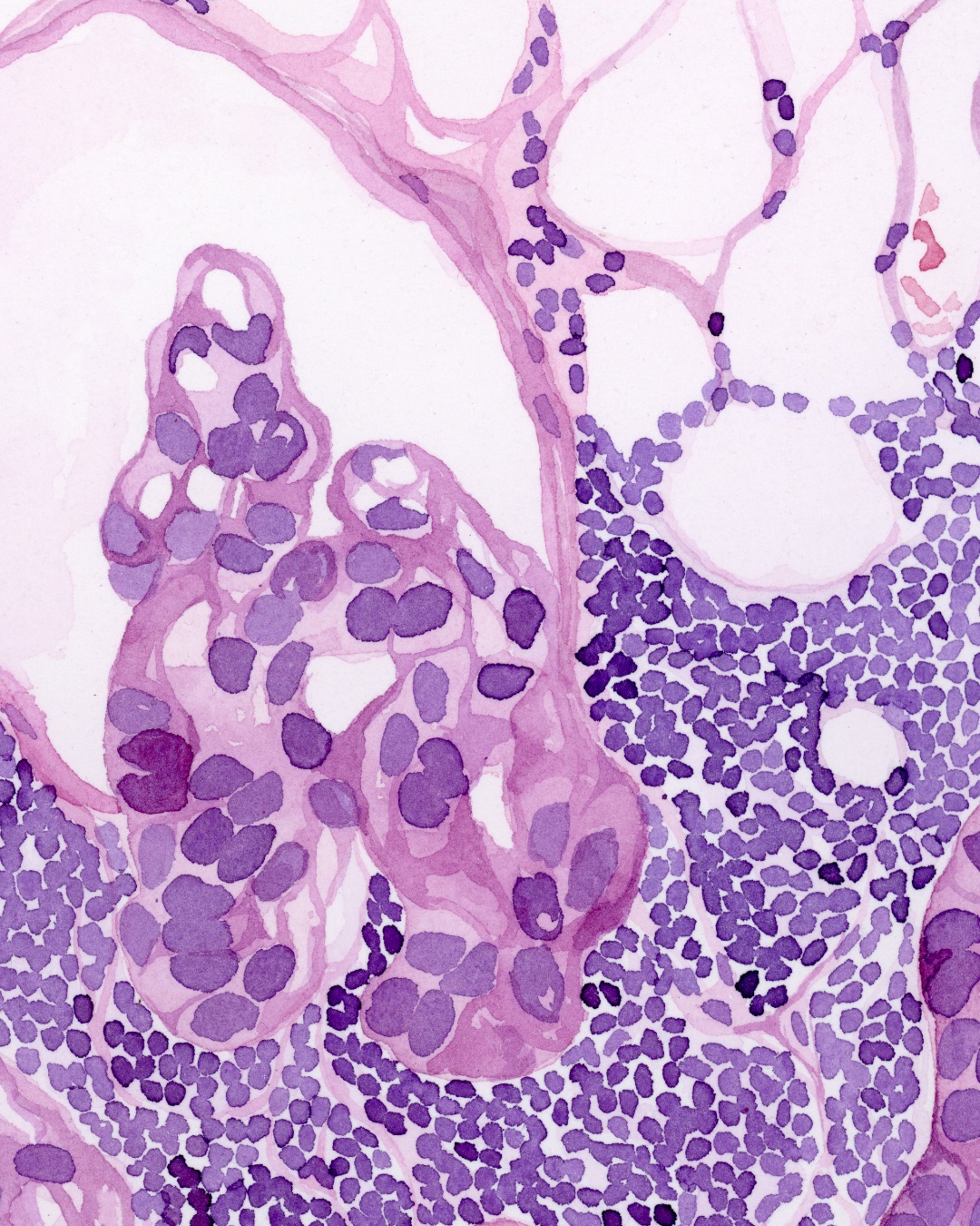
L (Lymphatic Invasion), Watercolor on paper, 24 x 32 cm
Example of a Lymphatic Invasion of an Mamma Carcinoma (NST).
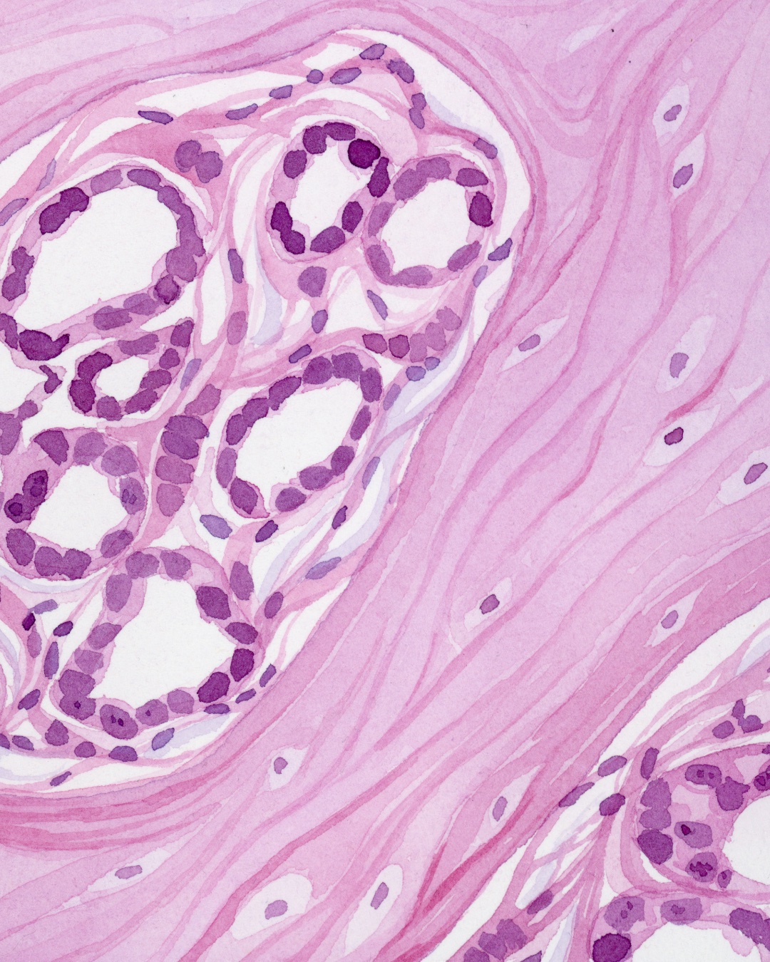
V (Vascular Invasion), Watercolor on paper, 24 x 32 cm
Example of Vascular Invasion by an Adenocarcinoma (e.g. Colon).
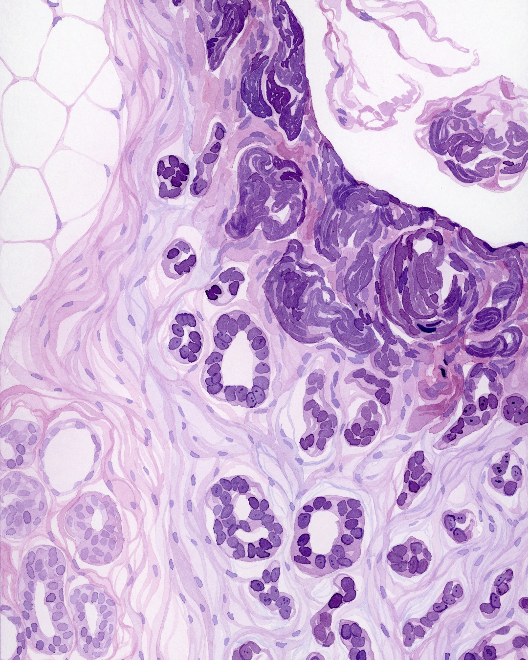
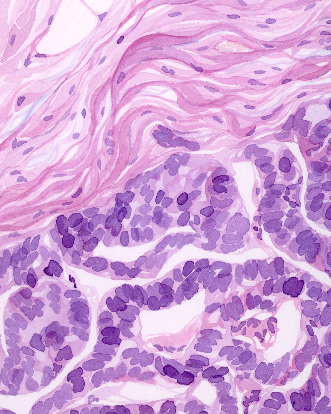
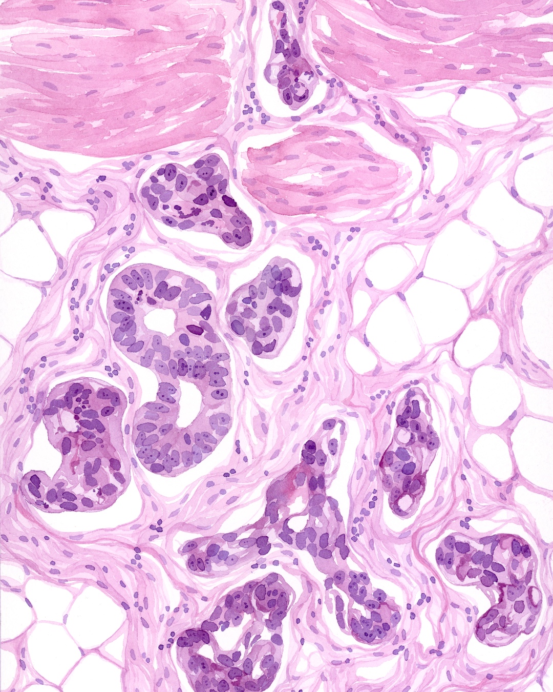
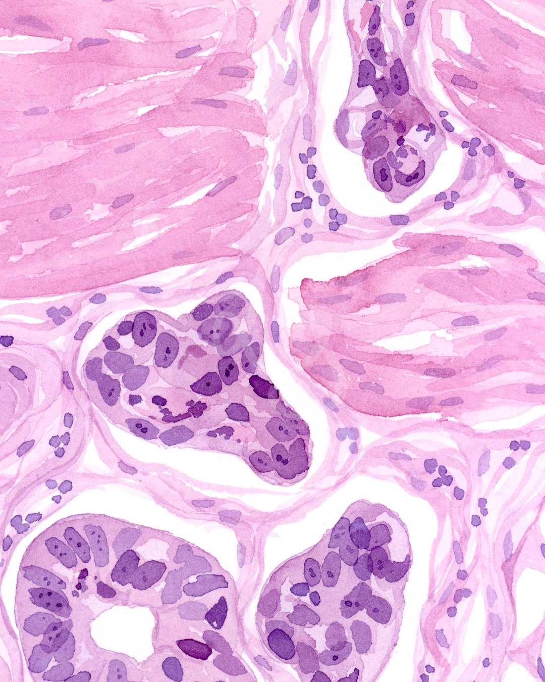
Pn (Perineural Invasion), Watercolor on paper, 24 x 32 cm
Example of Perineural Invasion by an Adenocarcinoma (e.g. Prostate).
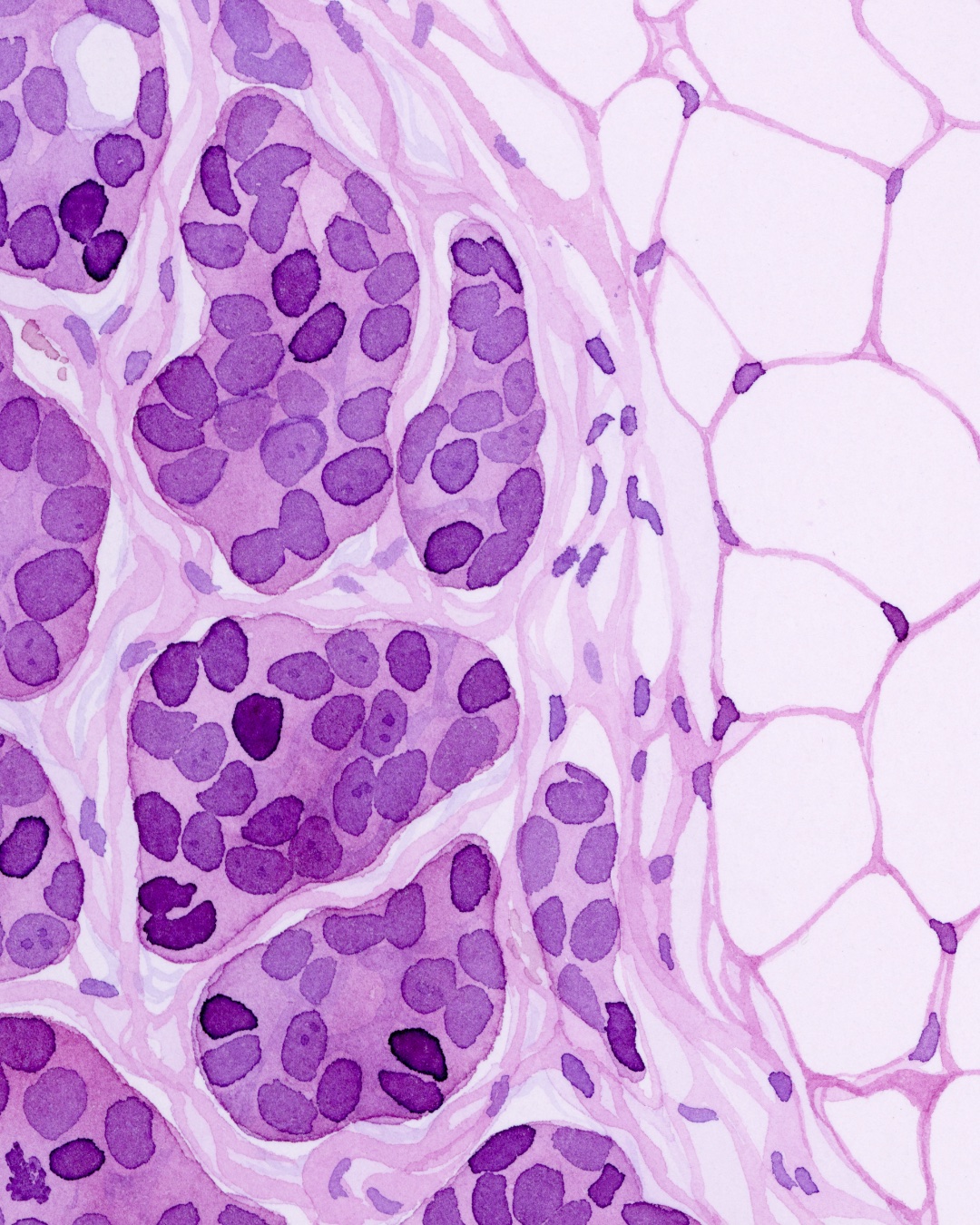
R (Residual Tumor), Watercolor on paper, 24 x 32 cm
Example of an carcinoma at resection border showing artifical alterions caused by coagulation in the operating process.
